Introduction
Spinopelvic dynamics contribute to stability and implant positioning during THA. Spinal sagittal balance reduces component-component or bony impingement following THA (Malkani et al. 2019; Klemt et al. 2020). Specifically, patients with a flat back deformity (loss of lumbar lordosis) are at risk for hip impingement due to the compensatory posterior pelvic tilt necessary to achieve sagittal balance (DelSole et al. 2017). In addition to sagittal plane imbalance, decreased pelvic motion secondary to stiffness or prior spine instrumentation can result in a compensatory increase in hip motion, increasing the risk for impingement and instability. This signifies the utility of pre-operative and individualized planning for all THA patients, particularly those with spinal deformities or prior spine fusion.
As the incidence of instrumented fusions continues to increase, arthroplasty surgeons must better understand the impact of spinal alignment on THA component position and its effect on post-operative stability. The use of specific technologies such as dual mobility acetabular liners may diminish THA instability (Lum, Giordani, and Meehan 2020). Here, we present a patient with recurrent THA instability with multiple spine fusions for flat back deformity. Although sagittal balance was restored, and a dual mobility construct was used, the patient had recurrent instability.
Clinical Case
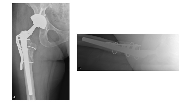
A 63-year-old female presented with recurrent THA instability - verbal consent was obtained for this report. She underwent L2-S1 posterior stabilization with L2-L3 anterior lumbar interbody fusion in May 2002 (Figure 1) and an uncomplicated right THA in April 2007. (Figures 2a-b) Five years following primary THA (July 2011), the patient sustained her first THA dislocation, which was treated with a closed reduction. Between 2011 and 2018, the patient had seven repeat episodes of hip instability – in 2012, one was complicated by a peri-prosthetic femur fracture requiring three revisions and reconstruction with a trochanteric claw plate. She was subsequently diagnosed with a prosthetic joint infection (PJI) which required an antibiotic spacer and subsequent re-implantation three months later. (Figures 3a-b) Following treatment of initial instability and femur fracture, the implants included a size 16 standard taper femoral stem and a 50-mm acetabular shell with 32-mm liner.
Twelve-weeks following re-implantation (2018), the patient experienced recurrent THA instability and was transitioned to our care for definitive treatment. At this time, the patient had a BMI of 24.22 kg/m2 and a past medical history of hypertension, rheumatoid arthritis, gastroparesis, hypothyroidism, and iron deficiency anemia. Relevant prescription medications included calcium carbonate, cholecalciferol, cyclobenzaprine, diltiazem, gabapentin, levothyroxine, and lisinopril. In August 2018, the patient underwent right THA acetabular revision with a porous titanium acetabular shell (56-mm) and dual mobility acetabular liner (44-mm), with four screws (30-mm x 2; 25-mm x 2) for adjuvant fixation. The existing stem was well-fixed and left in place, and a 44-mm/28-mm (+6) ceramic taper sleeve head was impacted. (Figures 4a-b) The patient followed a normal post-operative course and was ambulating pain free without assistance.
Fourteen months post-operatively, the patient experienced acute onset groin pain upon weight-bearing. She presented to the outpatient clinic and radiographs revealed abduction failure of the acetabular component. (Figures 5a-b)
The patient was ruled out for PJI (ESR, 12mm/h; CRP, 2.3 mg/L), and underwent acetabular revision to a revision tantalum shell with adjuvant screw fixation. (Figure 6a-b) A 40-mm superior pubic ramus screw was placed to enhance inferior fixation and mitigate abduction failure. A 47-mm dual mobility cup (Polar, Smith & Nephew, Memphis, TN, USA) was cemented into the 60-mm revision shell with the appropriate positioning. A 47-mm/28-mm (+6-mm) ceramic femoral head with titanium sleeve was then impacted onto the trunnion.
Eighteen days post-operatively (11/8/2019), the patient sustained another right THA dislocation that required closed reduction in the operating room. The post-reduction x-ray demonstrated a concentric reduction. The patient was treated in an abduction brace for 13 weeks without additional instability.
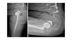
One month following brace removal (1/24/2020), the patient sustained another hip dislocation treated with closed reduction and subsequent revision arthroplasty (2/12/20) after ruling out PJI (ESR, 2 mm/h; CRP, 2.0 mg/L). Intra-operatively, an intra-prosthetic dislocation of the dual mobility construct was noted. (Figures 7a-d) The acetabular shell and femoral component were re-assessed and determined to be in appropriate position. The cemented dual mobility liner was exchanged for a 50mm cementable constrained liner (Freedom Constrained Liner – Zimmer Biomet, Warsaw, IN), and a 36-mm (+9-mm) constrained femoral head was selected to augment stability. (Figures 8a-b) Relevant radiographic measurements following primary and revision THAs is summarized in Table 1.
In addition to the multiple revision THAs, our patient was concomitantly being treated for continued sagittal plane imbalance and spinal stenosis. In August 2016, the patient underwent posterior instrumentation of the T9-L4 vertebrae as well as direct lateral interbody fusion of the T12-L2 disc spaces. In July 2018, the patient underwent cervical instrumentation of the C3-T1 vertebrae to treat myelopathy, which was extended to include C2-C3 anterior/posterior spinal fusion in September 2020 to address instability. Erect, lateral spine radiographs were recorded and demonstrate a pelvic incidence of 54ºwith a pre-operative lumbar lordosis of 33º (PI-LL mismatch of 21º indicating a severe sagittal spinal deformity) and a post-operative lordosis of 46.9º. (Figures 9a-b) While these radiographs represent a physiological alignment, the resulting stiffness could explain the recurrent THA instability.
Discussion
Surgical instrumentation to restore sagittal plane balance may further exacerbate THA instability by decreasing pelvic motion (Malkani et al. 2018; Sing et al. 2016). We report a patient with recurrent THA instability, despite use of a dual mobility construct, in the setting of multiple spinal fusions to restore sagittal alignment. Instability following THA is often multifactorial, with potential contributions from spinopelvic imbalance, implant malposition, abductor insufficiency, and poor bone quality. In our case, intraoperative assessment during multiple surgeries confirmed that both the femoral and acetabular components were well-fixed and appropriately positioned. Additionally, the patient ultimately completed a successful course of physical therapy and was able to discontinue the use of an abduction brace without recurrence of instability, suggesting at least partial recovery of abductor function. Further, longitudinal DXA scans over the peri-operative course indicated progressive improvements in bone quality likely due to the patient’s calcium supplement. Given this along with the extensive spinal fusion and objective radiographic findings of pelvic hypomobility, we believe the spinal deformity and diminished pelvic motion resulted in recurrent instability and eventual failure due to intra-prosthetic dislocation
Legaye et. al defined pelvic incidence (PI) as a static measure to track sagittal plane balance in relation to the pelvis. PI is the angle between the perpendicular to the sacral plate at its midpoint and the line connecting this point to the middle axis of the femoral heads; or, the sum of the sacral slope (SS) and the pelvic tilt (PT) (Legaye et al. 1998). Understanding the role of PI in THA stability requires further consideration of each individual component as the pelvis moves from a standing to sitting position. In the standing position, the anatomic pelvis is in the neutral position; when transitioned from standing to sitting, the pelvis retroverts by 20° as the lumbar spine relaxes and reduces sacral slope and lumbar lordosis to accommodate the seated position. The compensatory posterior rotation of the pelvis leading to increased acetabular version is pelvic retroversion (J.-Y. Lazennec et al. 2004; J. Y. Lazennec et al. 2007; J.-Y. Lazennec, Brusson, and Rousseau 2011; Homma et al. 2020).
Native pelvic motion involves the spine, pelvis, and hip working in concert to maintain posture, equally distribute axial load, and allow for maximal range of motion (ROM) (Haffer et al. 2020). This movement becomes particularly important for patients whose lordosis is not within 10° of the PI. These patients naturally posteriorly tilt their pelvis and often flex at the hips and knees to position their center of mass over the pelvis. Pelvic stiffness, or hypomobility, is described as a change in posterior pelvic tilt less <10° when moving from a standing to a sitting position (Ike et al. 2018; Lum, Giordani, and Meehan 2020). Spinopelvic stiffness has several etiologies including prior lumbar fusion. Lumbar fusion follows a rigid spinopelvic pattern; although the spine may be balanced, the pelvis is fixed in the standing position (Phan, Bederman, and Schwarzkopf 2015). Decreasing posterior tilt of the pelvis results in a compensatory increase in femoral motion. Additionally, the acetabulum ante-inclination fails to “open,” contributing to an increased risk for anterior impingement and posterior instability.
In this case, we surmise that multiple spinal fusions, spanning nearly the entire length of the spine, resulted in significant pelvic hypomobility (standing SS: 32.3°, normal: 38.4° ± 7.2°; and sitting SS 26.9°, normal: 18.5° ± 8.4°) (Ike et al. 2018). Additionally, the pelvic-femoral angle for this patient demonstrates femoral hyperflexion to compensate for diminished pelvic retroversion (standing – 170º, sitting – 100º; normal: 186.8° ± 9.0° and 124.5° ± 12.9°, respectively). As expected for this patient, the increase in ante-inclination is minimal (standing – 18º, sitting – 20.7º; normal: 34.1° ± 8.3° and 53.7° ± 8.8°, respectively), implying a greater risk for anterior impingement and posterior dislocation (Figures 10a-b).
Hip instability is an established complication of THA, with up to 9% of dislocations being attributed to impingement (Wera et al. 2012). The prevalence of abnormal spinopelvic motion in the setting of THA is not well-established (Ike et al. 2018); new data suggests this may be as high as 62.3% and 34.2% for sagittal plane imbalance and decreased pelvic motion, respectively (Carender et al. 2020). Heckman et al. reviewed a cohort of patients with late dislocations after THA, revealing 90.9% (10/11) of these patients who suffered from posterior dislocations to have abnormal spinopelvic motion such as pelvic hypomobility and increased femoral flexion (Heckmann et al. 2018). This suggests new considerations for hip surgeons during pre-operative and intra-operative planning. Several techniques and implants have been used with varying degrees of success.
Strategies to treat hip instability after THA include the use of high offset constructs (V. et al. 2021), dual-mobility articulation, acetabular component repositioning, and addressing bony and soft-tissue impingement (Lum, Giordani, and Meehan 2020). In this case, a history of multiple revision THAs in conjunction with abductor insufficiency secondary to a prior peri-prosthetic fracture treated with a claw plate, all available options with current technology had been exhausted. Most recently, the patient received a cemented constrained liner following the intra-prosthetic dislocation. At her 12-month follow-up, the patient denies evidence of instability or dislocation. Although the patient has been progressing along a normal post-operative course, the question remains - what options are available to treat recurrent instability if she encounters failure of the constrained liner? Unfortunately, further surgical management with revision THA may be futile, leaving resection arthroplasty as the only definitive treatment remaining.
Future research is necessary to guide pre-operative planning which may require a multi-disciplinary effort from both hip and spine surgeons. Additionally, there is a need for therapeutic options to manage patients who cannot successfully be treated with currently available implants. The past 20 years of research has drawn increased awareness of spinopelvic mobility and its relationship to THA stability. Pre-operative standing and sitting lateral spine radiographs and a standing AP pelvis x-ray are necessary to guide acetabular cup positioning (24). The need for dual mobility articulation should be considered in the setting of complex primary THA and the classically described “safe zone” for acetabular cup positioning may need to be revised.
