Introduction
Ochronosis is a rare disease characterized by skin pigment changes and degenerative arthritis caused by deposition of homogentisic acid in joint cartilage. There are exogenous and endogenous forms of the disease with the endogenous form typically caused by alkaptonuria, or a defect in homogentisic acid oxidase enzyme. The orthopedic manifestations are typically present as spondylitis. This is thought to cause calcification and degeneration of joints. In this report we present a previously undocumented case of endogenous ochronosis caused by topical hydroquinone use in a 69-year-old Caucasian male without alkaptonuria.
Case Report
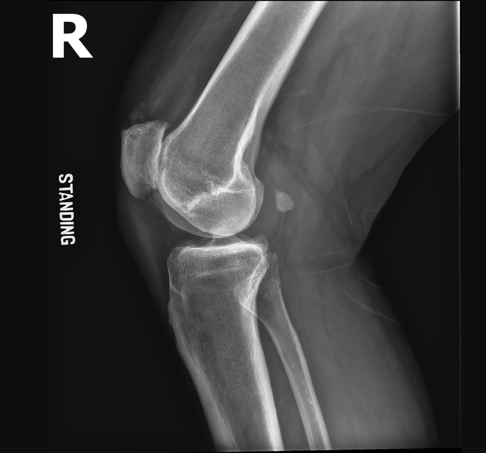
A 69-year-old male presented to the orthopedic clinic with right knee pain and x-ray evidence of osteoarthritis. He attempted conservative treatment including NSAIDs, activity modification, strengthening exercises, and intra-articular cortisone injections. He reported Losartan, Atorvastatin, ASA 81mg, Tamsulosin, Pantoprazole, Etodolac, and topical hydroquinone. He denied any history of alkaptonuria, black or discolored urine. He does report medical history of GERD, hypercholesterolemia, hypertension, and neuropathy. His surgical history includes bunion correction and previous right knee arthroscopy. There was no evidence of endogenous Ochronosis at the time of his previous knee arthroscopy.
Physical exam demonstrates 0-110 degree range of motion of the right knee, tenderness and a small effusion of the right knee without warmth or erythema. No obvious skin pigment changes or brown-colored skin changes symmetrically on the cheeks typically seen with exogenous Ochronosis. He is 6 feet tall and 250 pounds. Preoperative x-rays and MRI are shown in Figures 1-10.
During a total knee arthroscopy intraoperative findings included gross blue/black discoloration of the cartilage surfaces of the distal femur, proximal tibia, and medial/lateral menisci [Figure 11]. There was eburnated bone in all three knee compartments. There was also blue/black hyperpigmentation minimally visualized in the synovial tissue. Postoperative pathology report demonstrated the same gross findings and hyperpigmentation of the cartilage. Postoperative work-up included culture/gram stain and urine organic acid testing. These tests all returned negative.
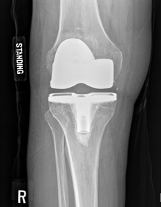
His postoperative course progressed as expected. He developed postoperative edema and had a negative doppler ultrasound. His physical therapist’s final report demonstrated 0/10 pain, 0-120 degree range of motion, and all goals met by > 90%.
Discussion
Ochronosis is a rare disease and can present in either exogenous or endogenous forms. Endogenous Ochronosis, or alkaptonuria is an autosomal recessive disease caused by an inborn defect of homogentisic acid oxidase, which results in the accumulation of homogentisic acid, a hydroquinone metabolite of tyrosine. Collagen of connective tissue, tendons, and cartilage is bound irreversibly by homogentisic acid and causes skin hyperpigmentation and/or arthropathy. The effect on cartilage is the most serious consequence of endogenous Ochronosis. The cartilage becomes brittle and fibrillated, leading to inflammation, progressive osteoarthritis, and denudation of subchondral bone (Kumar V,. Abbas A, Fausto N, Astor J. 2010). The small joints of the hands and feet are typically spared while the intervertebral disks, knees, hips, and shoulders are affected. Treatment of alkaptonuria is symptomatic and ultimately joint replacement if indicated (Ferreira et al. 2014).
Exogenous Ochronosis is evident by hyperpigmentation usually of the ear lobes, sclera, cheeks, and nose. Exogenous Ochronosis was first described by Findlay et al. and described the paradoxical hyperpigmentation caused by topical hydroquinone use for skin bleaching (Findlay, Morrison, and Simson 1975). The microscopic changes include banana-shaped yellow-pigmented inclusions and occasionally histiocytes (Engasser and Maibach 1984).
There have been multiple cases of topical hydroquinone use leading to exogenous Ochronosis (Gandhi, Verma, and Naik 2012; Merola et al. 2008). We believe this case represents the first instance of topical hydroquinone use leading to endogenous Ochronosis. Our patient had used topical hydroquinone for multiple years as skin bleaching treatment, and although he manifested no dermal side effects, the progression of his osteoarthritis and cartilaginous changes are consistent with those seen in endogenous Ochronosis.
Conclusion
Although this is the first report of topical hydroquinone use leading to evidence of endogenous Ochronosis in the absence of alkaptonuria to our knowledge, this should further provide credence that topical hydroquinone use is not without side effects. There have been overtures made to the FDA to evaluate the use of these topical agents for skin bleaching (2006) and perhaps further evaluation is warranted (Levitt 2007). A careful history, including medications viewed as noncontributory, for instance cosmetic and topical agents, should not be overlooked by orthopedic surgeons in the presurgical evaluation of osteoarthritis.











